
جير الاسنان, ما هو جير الاسنان, كيفية التخلص من البلاك؟
بغض النظر عما نأكله، بعض جزيئات الطعام تبقى في الأسنان، وهذه الجزيئات تكمن في شقوق الأسنان، وتؤدي إلى نمو البكتيريا. بعد ذلك تُشكّل البكتيريا طبقة رقيقة على الأسنان، والتي تعرف باسم البلاك. عندما يبقى البلاك على الأسنان بدون مراقبة، يستمر في النمو والتصلب، وعندما تتصلب اللويحة، تؤدي إلى جير الاسنان.
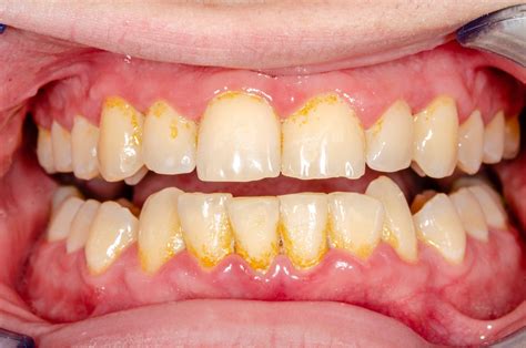
من اضرار جير الاسنان أنه يمنح مساحة كبيرة لنمو البلاك، ويشكل لوحة يلتصق بها البلاك. قد يحدث هذا على الأسنان، بين الشقوق، بالقرب من اللثة، وفي الجزء الخلفي من الفم التي يصعب الوصول إليها الفرشاة. على عكس البلاك، من السهل رؤية جير الاسنان، لأنه غالباً ما يحول الأسنان إلى لون أغمق ما بين الأصفر والبني حينما يتصلب. ونظراً لطبيعته المسامية، يمتص جير الأسنان البقع التي يسببها الطعام والشراب الحمضي. لذا، إذا كنت عادةً تشرب الشاي أو القهوة، ولديك تراكم جير الأسنان، من المحتمل أن يتغير لون أسنانك بسهولة.
قد يؤدي نمو جير الأسنان إلى مشاكل أخرى أكثر خطورة للأسنان، كما أن التراكم يجعل تفريش الأسنان أكثر صعوبة، والذي قد يسبب تسوس الأسنان لذلك يجب تنظيف جير الاسنان بطريقة سليمة.
ما هي اسباب جير الاسنان؟
يبقى الطعام والشراب في فمنا بعد فترة طويلة من تناوله، ويطعم الجراثيم في الفم، فإنها تنموا على السكر والنشا، وهذه الجراثيم تهدم الأسنان وتؤذي اللثة.
بمجرد أن يتشكل جير الأسنان، تصبح حلقة شنيعة من النمو البكتيري، وينمو جير الأسنان بسهولة أكثر، ويزداد البلاك عندما يتلامس مع اللعاب. تصيب اللويحات اللثة والأسنان إذا لم يتم إزالتها بالتنظيف اليومي مع الخيط والفرشاة، وتضر أيضاً بأنسجة اللثة التي تدعم العظام. عندما يتحول البلاك إلى جير، يجب إزالة جير الاسنان من قبل طبيب الأسنان.
أربعة طرق لمنع ظهور جير الأسنان
بمجرد نمو البلاك على أسنانك، تصبح الطريقة الوحيدة لإزالته هو العلاج الاحترافي. ستحتاج إلى زيارة طبيب أسنان يستخدم أدوات خاصة في إزالة جير الاسنان من جميع مناطق الفم وهذا يعرف باسم تَقليحُ الأسنان.
من الأسهل تجنب جير الأسنان بدلاً من علاجه. اتبع هذه النصائح لتجنب تراكم الجير:
استخدم الفرشاة والخيط
نظف أسنانك بالفرشاة مرتين يومياً لمدة دقيقتين تقريباً في كل مرة. وقم بالتفريش حتى في الأماكن التي يصعب الوصول إليها، لأن هذه الأماكن بالأخص فيها الكثير من الجراثيم. يساعد التنظيف بالخيط على إزالة أي جزيئات طعام عالقة بين الأسنان، لذا هذه خطوة مهمة في روتين العناية بالأسنان.
اختر معجون أسنان فلورايد
يساعد الفلورايد في ترميم المينا، وبعض معاجين الأسنان تحتوي على مكونات تقاوم البكتيريا، لذلك اختر بحكمة.
المضمضة يوميًا مع غسول الفم
استخدم غسول فم مطهر يومياً. إن المضمضة لمدة 30 ثانية مع غسول الفم الصحيح يصنع العجائب في الحفاظ على نظافة فمك وعلى محاربة البكتيريا التي تسبب البلاك. يصل غسول الفم إلى أماكن في فمك لا تستطيع الفرشاة الوصول إليها لمحاربة الجراثيم في جميع أنحاء الفم.
تناول الطعام وتنظيفه
تساعد الأطعمة السكرية والنشوية على نمو الجراثيم، لذا تأكد أن تنظف أسنانك بعد تناول الطعام مباشرة لتضمن عدم ترك أي جزيئات قد تتغذى عليها البكتيريا.
هل يمكن ازالة جير الاسنان في المنزل ام لا ؟
لا يمكن إزالة تكلسات الاسنان والتخلص من طبقة الجير الا عند الطبيب، ويعود السبب في ذلك الى استخدامه جهاز خاص يقوم بضخ الماء ويستطيع الدخول ما بين اللثة والاسنان إزالة جميع طبقات الجير المتراكمة.
جهاز ازالة الجير من الاسنان
يعمل هذا الجهاز بواسطة ضخ الماء ليدخل ما بين الاسنان واللثة ويعمل على تفتيت طبقات الجير المتراكمة المسببة للكثير من المشاكل للأسنان واللثة.
يساعد الماء على إزالة رواسب وبواقي الاطعمة المتحجرة ما بين الاسنان واللثة ، على اعتبار ان التخلص من طبقات البلاك تعيد الصحة السليمة للسن وما يدور حوله.
خطوات تنظيف الجير من الاسنان
- تقييم صحة اللثة من خلال معاينة وتقييم حالة اللثة لتحديد مدى العمق الذي يحتاجه المريض ، يستخدم الطبيب مرآة صغيرة محمولة وذلك لرؤية مناطق اللثة المختلفة ومسبارًا للبحث عن الجيوب التي تشكلت تحت اللثة وبحاجة للتنظيف العميق.
- يقوم الطبيب باستخدام التخدير الموضعي ليجنبك الألم المتوقع ، كما ان أغلب الحالات ليست بحاجة لشق اللثة جراحيًّا وكشف جذور الأسنان لكن عند الحاجة لها يقوم الطبيب بخياطتها في النهاية.
- تنظيف سطح الأسنان ويستخدم الطبيب أداة يدوية حتى يكشط الجير والتكلسات العالقة على السطح العلوي للأسنان وفوق خط اللثة ، ويحتاج في بعض الاحيان لأداة كهربائية تعمل من خلال الأمواج فوق الصوتية ومزودة برأس مهتز تضخ الماء وتغسل الجير والبلاك.
- تنظيف جذور الأسنان وتسمى هذه المرحلة بكشط وتقشير الجذر ، فيقوم برفع اللثة ليكشف عن جذور الأسنان وينظفها بالمعدات السابقة ، ثم يقوم تنعيم البقع الخشنة المتواجدة على جذور الأسنان ليمنع البكتيريا من ان تتراكم فيما بعد.
- من ثم يضع على الأسنان خلال التنظيف هلام مضاد حيوي مهمته قتل الجراثيم العالقة أو يصف مضادات حيوية عن طريق الفم أو غسول فم مضاد حيوي يتم استخدامها في المنزل.
كم مدة جلسة ازالة الجير من الاسنان؟
للتنظيف العميق أنت بحاجة لجلستين وتستمر الجلسة الواحدة حوالي ساعة أو أقل وكل جلسة منفصلة عن الأخرى.
هل عملية ازالة الجير من الاسنان مؤلمة؟
من الأمور التي يسببها تقشير الأسنان وكشط الجذر الحساسية بعد العلاج، كما قد تتورم اللثة ومن الممكن أن تعاني من نزيف خفيف نوعاً ما.
كم اسعار تنظيف الاسنان من الجير عند الطبيب؟
تختلف التكلفة للتنظيف العميق بحسب شدة مرض اللثة أو التهابها وكذلك عدد الجلسات التي ينبغي للحالة القيام بها.
تعرف على:
طريقة تنظيف الجير من الاسنان.
روت دنت- فيس بوك.
روت دنت- انستغرام.
روت دنت- يوتيوب.



