سعر زراعة الاسنان, كلفة زراعة الاسنان, تجميل الاسنان تركيا
سعر زراعة الاسنان, كلفة زراعة الاسنان, تجميل الاسنان تركياعدم وجود أسنان في الفم وفقدانها نتيجة لحادث او تراكم مشاكل لعدم اهتمام ادى لفقدان الاسنان او الاصابة بأي مرض يدى لذلك ، إن نقص أو فقدان الاسنان يؤدي لمشاكل في الاكل والنطق واللثة إضافة لمشاكل تؤثر في النفس بالاضافة الى غياب الثقة .
اسعار تبييض الاسنان بالليزر في تركيا
أفضل طريقة لتبييض الأسنان, نتائج تبييض الاسنان, اسعار تبييض الاسنان بالليزرتبييض الاسنان يعمل على تفتيح لون الاسنان ، وفي كل جلسة يتم تفتيح السن بدرجة معينة حتى يصل الشخص الى النتيجة التي يريدها ويبحث عنها .
خطوات زراعة الاسنان, ما هي انواع زراعة الاسنان؟ سعر زراعة الاسنان
خطوات زراعة الاسنان, ما هي انواع زراعة الاسنان؟ سعر زراعة الاسنانيقوم الطبيب بعمل فحص هيكل الفك والعظام للحالة ، من ثم فتح اللثة وعمل ثقب أو فتحة تكون واسعة لتناسب الزرع في عظم الفك
طريقة تلبيس الاسنان الأمامية, كم تكلفة تركيب تلبيس الأسنان في تركيا ؟
طريقة تلبيس الاسنان الأمامية, كم تكلفة تركيب تلبيس الأسنان في تركيا ؟يوجد مجموعة من النصائح التي تلعب كبير وبارز في استمرارية وجود التيجان والتي تتجلى في الحفاظ على نظافة الفم من خلال ما يلي :- تنظيف اسناننا بالفرشاة مرتين يوميًا وكذلك استخدام الخيط الطبي للتنظيف .
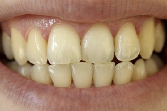
كيف ابيض اسناني في البيت؟ كم اسعار تبييض الاسنان ؟
كيف ابيض اسناني في البيت؟ كم اسعار تبييض الاسنان ؟يتوجب على الجميع القيام دائما بالمحافظة على نظافة الفم والأسنان وذلك يكون بالقيام بالتنظيف الدوري والمستمر بالفرشاة والمعجون ، بالاضافة الى أنه يجب القيام بالتنظيف كذلك بالخيط وغسولات الفم .
كيف ابيض اسناني؟ طريقة تبييض الاسنان كم سعر تبييض الاسنان؟
كيف ابيض اسناني؟ طريقة تبييض الاسنان كم سعر تبييض الاسنان؟تبييض الأسنان ليس حلاً دائماً فمن الممكن يمكن أن يستمر من أشهر ويصل إلى ثلاث سنوات ، يقتصر الأمر على العناية بالأسنان والابتعاد عن الأطعمة والمشروبات التي تسبب تصبغ الأسنان ، مثل الشاي والقهوة وكذلك التدخين .
كيف ابيض اسناني, ميزات تبييض الاسنان بالليزر, كم تستغرق جلسة تبييض الاسنان بالليزر ؟
كيف ابيض اسناني, ميزات تبييض الاسنان بالليزر, كم تستغرق جلس تبييض الاسنان بالليزر ؟من النصائح التي يجب عليك اتباعها بعد تبييض الأسنان لتتمكن من الوصول لنتائج جيدة وذات عمر طويل هي ما يلي :
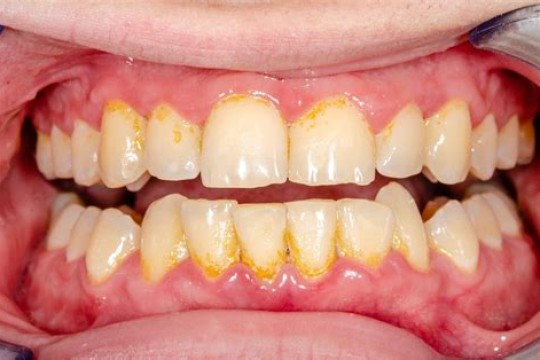
جير الاسنان, ما هو جير الاسنان, كيفية التخلص من البلاك؟
كيفية ازالة جير الاسنان عند الطبيب, جهاز ازالة الجير من الاسنانلا يمكن إزالة تكلسات الاسنان والتخلص من طبقة الجير الا عند الطبيب ، ويعود السبب في ذلك الى استخدامه جهاز خاص يقوم بضخ الماء ويتسطيع الدخول ما بين اللثة والاسنان اإزالة جميع طبقات الجير المتراكمة .
كم مدة تقويم الأسنان للحالات البسيطة ؟ ما هي أنواع تقويم الأسنان ؟
مدة تقويم الأسنان للحالات البسيطة أو المعقدة يتم تحديدها من قبل الطبيب المشرف على سير التركيب .كم مدة تقويم الأسنان للحالات البسيطة ؟ما هي أنواع تقويم الأسنان ؟
أهمية التركيب المبكر لتقويم الأسنان لدى الأطفال, أسعار تقويم الأسنان للأطفال
أهمية التركيب المبكر لتقويم الأسنان لدى الأطفال, أسعار تقويم الأسنان للأطفال
ما هو التقويم الثابت خلف الأسنان ؟ خطوات تركيب تقويم الاسنان
ما هو التقويم الثابت خلف الأسنان ؟ خطوات تركيب تقويم الاسنان ما هي خطوات تركيب تقويم الاسنانكيف يركب تقويم الاسنان














